X
二維碼
  1. 首頁 > 牙齒美白 > 美白牙貼面 >

深圳瓷牙貼片價錢,瓷牙貼片可以解決牙齒乜問題?

發佈時間:2023-10-20

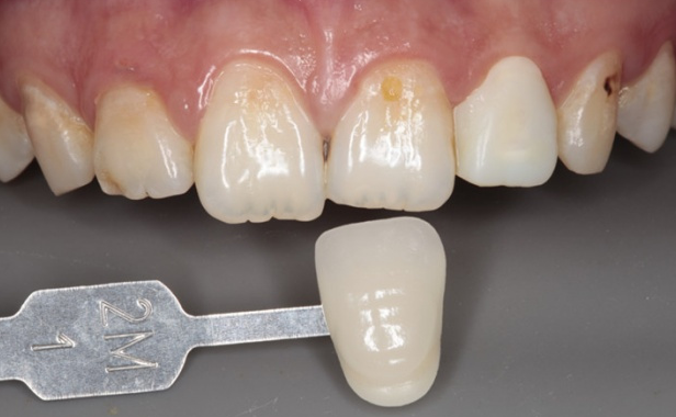
深圳瓷牙貼片價錢查詢,以深圳維港口腔為例,Emax瓷牙貼2800元,美加超薄瓷牙貼3800元/Emax超薄瓷牙貼3800元,vita琥珀瓷牙貼4800元,多隻有套餐價更加優惠,具體可以咨詢維港口腔官方客服人員。

咁瓷牙貼片可以解決牙齒乜問題?

瓷牙貼片能解決多種牙齒問題,但喺選擇時需要考慮以下因素:適應症和治療順序。

瓷牙貼片首要功能系改善牙齒顏色,特別適用於對牙齒顏色唔滿意嘅情況,如牙齒發黃、四環素牙、氟斑牙等。瓷牙貼片通過選擇唔同嘅物料嚟遮蓋牙齒表面嘅色斑。不過要知道有啲瓷牙貼片嘅遮蓋能力系有限嘅,具體要咨詢醫生嘅建議。

image

此外,瓷牙貼片可用於牙齒排列和形態嘅優化。如果牙齒排列唔齊,而同時想改善顏色,瓷牙貼片可以發揮很大作用。但對於牙列擠迫嚴重嘅情況,需要先進行牙齒矯正,然後再考慮瓷牙貼片。如果只有輕微嘅牙齒唔齊或唔滿意嘅形態,例如「瓜子牙」或門牙縫大,咁瓷牙貼片系一個很好嘅選擇。是否需要先矯正牙齒,最終決策需要由專業醫生根據每位患者嘅具體情況進行評估。

因此喺咨詢瓷牙貼片前,要搵一個資深專業嘅美學修復醫生,同醫生溝通自己嘅訴求,再進一步選擇合適自己嘅方案。

更多牙齒問題歡迎諮詢+852 68472582(香港)、+86 13266962630(深圳),提前預約仲可享受免費面診,影CT服務,免掛號費。

推薦閲讀:

深圳牙科收費


温馨提示: 牙科問題歡迎電話諮詢+852 6847 2582(香港)、+86 132 6696 2630(深圳),提前預約,報銷口岸至牙科車費30元内,避免排隊、免專家掛號費、享受牙科診療最新折扣優惠。
維港口腔,立足深圳羅湖、深圳福田、珠海,為粵港澳市民提供專業的牙科服務。
電話:852 6847 2582

拎400蚊優惠券!
香港品牌 過關即到

電話聯係客服

點擊「確定」,馬上聯係客服進行免費諮詢預約!

WeChat ID已複製

點擊「打開微信」進入微信,點右上⊕,粘貼ID,添加客服開始免費諮詢!

WhatsApp客服諮詢

點擊「確定」,即可諮詢預約維港口腔,並申請免X-Ray費用,免問診金費用!