維港口腔是領先獲得衛生部門核准的種植牙專科無菌手術室資質的牙科機構,專科專注植牙。
配備韓國進口4合1數字化 CT,精準定位植牙。配備國際知名種植系統,各型號植體與癒合基臺,滿足顧客不同需求的種植修復。
維港口腔種植牙專家醫生團隊,省市級三甲公立醫院多年牙科醫療經驗,獲得中國醫師協會種植牙定額認證學分,技術認證,專業嚴謹。
植牙後配備資深美學修復技師,提供科學咬合關係設計,量身訂製高品質牙冠。條件適合的顧客,可實現種植牙即刻負重修復,即拔即種,無牙而來、有牙而歸。
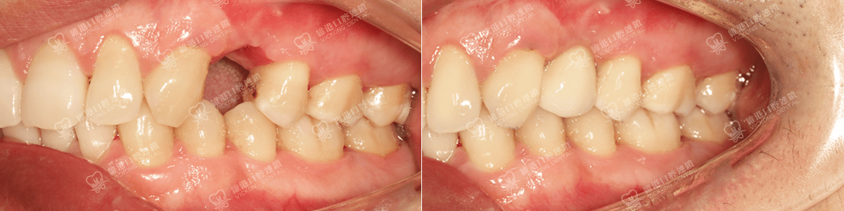
單顆牙齒缺失
多顆牙齒缺失
半口牙齒缺失
全口牙齒缺失
意外折斷/脫落
牙齒鬆動
穩定可靠 性價比高
推薦指數:
1.高穩定性:皓聖種植體通過螺旋切割設計和SA表面處理技術,有效增強了與牙槽骨的結合力。
2.即拔即種:獨特的頭部設計使得皓聖種植體能夠滿足即拔即種的需求,縮短手術植入時間。
3.價格優勢:相比其他高端種植體,美國皓聖的價格相對合理,適合不同預算的患者。
適合亞洲人 經濟實惠
推薦指數:
1.被廣泛使用,適合亞洲人體,價格適中
2.經典的柱形設計、表面處理方式,成功率高
3.近年亦開發出適合即刻種植的根形種植體
4.親骨相容技術,增強骨結合能力
鈣離子親水 親和穩固
推薦指數:
1.植體浸在氯化鈣溶液中,使用特殊的包裝方法更好地保存了其表面活性;
2.超親水性具有優異的血液濕潤性;
3.牙槽骨的生物成分主要是鈣(CA),親和鈣離子的植體有利於快速骨癒合,縮短了治療週期;
4.這款親水植體在韓國已經使用了十多年,是可靠且性價比高的種植體。
高端品質 技術領先
推薦指數:
1.生物相容性好,具有很高的初期穩定性
2.微創手術模式,手術輕鬆,術後反應小
3.獨創的牙根形狀種植體系統
4.適合即刻種植,即刻負重
源自1980 信心之选
推薦指數:
1.簡單精准,使手術時間短,且更精准安全
2.微創可視:醫生和患者均可以事先看到精准的手術模型和種植效果
3.四級純鈦植體,安全係數高
4.三重穩固性設計,骨結合穩定
高端品質 暢銷全球
推薦指數:
1.醫用四級鈦材料,降低了種植手術的侵入性
2.莫爾斯錐度連接,牙冠牙根越咬越緊密
3.BCP表面處理,確保初始穩固性
4.頸部的螺紋和噴砂處理,能盡量保留皮質骨
種植牙出現塞牙等不適情況可隨時到院調整。
| 項目 | 收費(元) |
|---|---|
| 美国種植牙(烤瓷牙) | 3398 |
| 美国種植牙(全瓷牙) | 4129 |
| 韓國種植牙 | 5180 |
| 韓國(親水)種植牙 | 6580 |
| 法國安卓健種植牙 | 7990 |
| Nobel PMC種植牙 | 9800 |
| 瑞士ITI BLT種植牙 | 9800 |
| 項 目 | 收費(元) |
|---|---|
| All-ON-2(半口可拆式) | 25800 |
| All-ON-4(半口可拆式) | 39800 |
| All-ON-4(半口固定式) | 51800 |
| All-ON-6(半口固定式) | 66800 |
| ALL-ON-2(全口可拆式) | 51600 |
| ALL-ON-4(全口可拆式) | 79600 |
| ALL-ON-4(全口固定式) | 103600 |
| ALL-ON-6(全口固定式) | 133600 |
*以上報價包括種植體、基臺、中高端牙冠、診療方案和手術費。
Q種植牙時用的骨粉和骨膜是什麽?
A:由於缺失牙時間過長,或者牙周病的患者,牙槽骨吸收過多,造成種植牙手術時候骨量不足,難以進行種植牙的手術,就要想辦法增加骨量,所以這時就需要用到骨粉和骨膜。
Q種植牙會和真牙一樣堅固耐用嗎?
A:研究表明,許多種植牙實際上比真牙還要更穩固。種植牙的出現,缺牙患者終於可以去吃他們從前不敢吃的食物,享受美食生活的樂趣。
Q種植修復過程大約需要多長時間?
A:這取決於種植體的類型以及上部修復體的類型,總的時間可以隻有幾個星期,也可能要幾個月。一般需要3〜6個月。如果需要植骨或結合其他治療,則還要更長的時間。醫生會和你講明。
點擊「確定」,馬上聯係客服進行免費諮詢預約!
點擊「打開微信」進入微信,點右上⊕,粘貼ID,添加客服開始免費諮詢!
點擊「確定」,即可諮詢預約維港口腔,並申請免X-Ray費用,免問診金費用!




