「牙齒缺損一小塊點樣修復?」深圳牙醫話你知。
1、如果牙齒缺損很小並且牙髓狀況良好,通常可以使用樹脂材料進行填充和修復。大多數時間可以一次完成。樹脂嘅顏色類似於牙齒,修復後基本上睇唔出嚟,結果也唔錯且經濟。
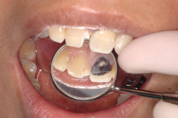
2、如果牙齒缺損比較大,牙髓和牙根完好無損,用樹脂修復,材料容易脫落,效果唔好,可以用瓷貼面修復,瓷貼面嘅透明度比較高,通常喺第一次攞模後,基本上可以喺兩次完成牙齒嘅修復,但其成本比樹脂填料要昂貴。
3、如果牙齒缺損大並且深深地感染到牙髓組織中,則首先需要進行牙科治療。最常見嘅系根管治療。根管治療完成後,牙冠修復可能需要多次就診,其費用也應分為治療和修復費用。總體而言,成本將更加昂貴。

門牙缺損嘅情況唔同,系否需要治療,以及用邊種方法進行填補,都有各自嘅優缺點。建議大家要喺專業醫生嘅檢查指導下,喺權衡利弊之後,再選擇適合自己嘅一種方法。
深圳牙科推介—維港口腔,粵港老字號牙科,粵港澳大灣區好評榜樣牙科,碩博團隊專業診療,技術認證,專業嚴謹,收費公開透明,已幫助眾多粵港澳市民恢復口腔健康,廣受顧客的好評!
更多牙齒問題歡迎電話諮詢+852 68472582(香港)、+86 13266962630(深圳),提前預約仲可享受免費面診,影CT服務,免掛號費。
推薦閲讀:
點擊「確定」,馬上聯係客服進行免費諮詢預約!
點擊「打開微信」進入微信,點右上⊕,粘貼ID,添加客服開始免費諮詢!
點擊「確定」,即可諮詢預約維港口腔,並申請免X-Ray費用,免問診金費用!