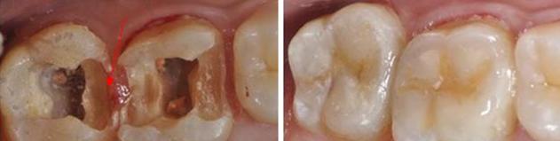
有啲蛀牙雖然外表睇上去只係一個小黑點,但其實內部已經齲壞嚴重,齲洞中嘅腐質含有大量被感染嘅牙體組織,補牙前需要去除齲洞中嘅腐質。如果唔將腐質去除乾淨就直接補牙,一方面充填材料好容易脫落,另一方面腐質中嘅細菌會繼續侵蝕健康嘅牙體組織,導致齲壞程度進一步加深。
補牙需要製備成一定形狀嘅窩洞來進行修復,醫生會在儘量唔破壞正常牙體組織嘅情況下,將腐質同埋剩餘較薄弱嘅牙體組織清除修整乾淨,從而獲得穩固嘅地基。
深圳補牙嘅流程大致分為口腔檢查、窩洞製備、窩洞消毒、窩洞充填等,其中磨牙就係窩洞製備時嘅操作。

大牙經常會咬一啲比較硬嘅食物,咀嚼頻率高,補牙建議採用硬度比較高嘅材料。3M Z250硬度相對會比較低通常用來補前牙,唔適合補大牙,建議大家可以選擇同品牌嘅其他型號,譬如美國3M P60或者3M Z350。
更多牙齒問題歡迎電話諮詢維港口腔+852 68472582(香港)、+86 13266962630(深圳),提前預約仲可享受免費面診,影CT服務,免掛號費。
推薦閲讀:
點擊「確定」,馬上聯係客服進行免費諮詢預約!
點擊「打開微信」進入微信,點右上⊕,粘貼ID,添加客服開始免費諮詢!
點擊「確定」,即可諮詢預約維港口腔,並申請免X-Ray費用,免問診金費用!