「深圳做瓷牙套,期間可以做臨時牙套?」深圳醫生話你知。
製作瓷牙套的過程中通常可以製作臨時牙過渡。臨時牙過渡是在進行瓷牙套製作的過程中,為患者暫時性地安裝的臨時修復物,以保護牙齒,保持咬合功能,並確保患者在等待定制牙套製作完成期間能夠正常咀嚼和進行日常活動。
在深圳做瓷牙套主要有以下幾個步驟:
牙齒備牙:醫生需要備牙,包括去除受損部分和輕微磨削,以便瓷牙套的適合安裝。
取模:對牙齒進行取模,用於定制牙套的製作。
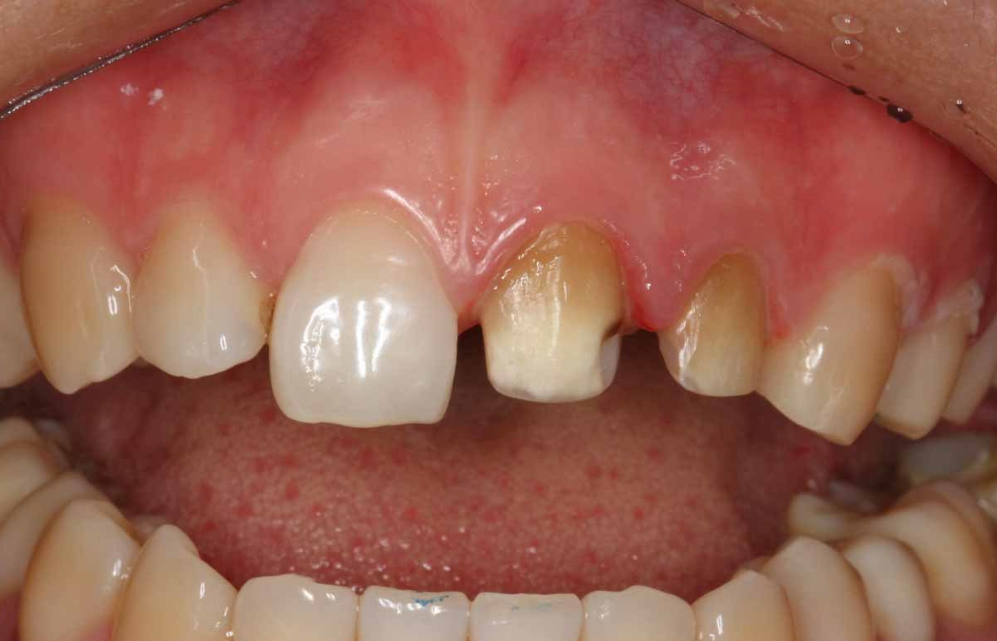
安裝臨時牙:在等待瓷牙套製作完成期間,牙醫會在牙齒上安裝臨時牙過渡。這個過渡牙套可以幫助患者在等待期間保持牙齒的咬合功能,並且使外觀更加自然。
製作瓷牙套:醫生會將牙模送到牙技師進行瓷牙套的製作。製作過程需要時間,通常需要7-10日。
佩戴瓷牙套:一旦瓷牙套製作完成,牙醫會將臨時牙過渡去除,並為患者佩戴固定住瓷牙套。

臨時牙過渡的主要目的是保護牙齒、保持功能和舒適性,以及在製作定制牙套的過程中提供臨時解決方案。雖然臨時牙過渡通常不像定制的烤瓷牙套那樣堅固和耐用,但在製作過程中起到非常重要的作用。
維港口腔瓷牙套價錢,愛爾創全瓷牙1530元,德國威蘭德全瓷牙2500元,德國澤康全瓷牙3800元,美國Lava全瓷牙4800元,更多詳情請咨詢。
更多牙齒問題歡迎電話諮詢+852 68472582(香港)、+86 13266962630(深圳),提前預約仲可享受免費面診,影CT服務,免掛號費。
推薦閲讀:
點擊「確定」,馬上聯係客服進行免費諮詢預約!
點擊「打開微信」進入微信,點右上⊕,粘貼ID,添加客服開始免費諮詢!
點擊「確定」,即可諮詢預約維港口腔,並申請免X-Ray費用,免問診金費用!