X
二維碼
  1. 首頁 > 瓷牙套 > 鑲牙 >

深圳假牙科普—前牙斷了三顆是種牙還是烤瓷牙橋好?

發佈時間:2023-01-30

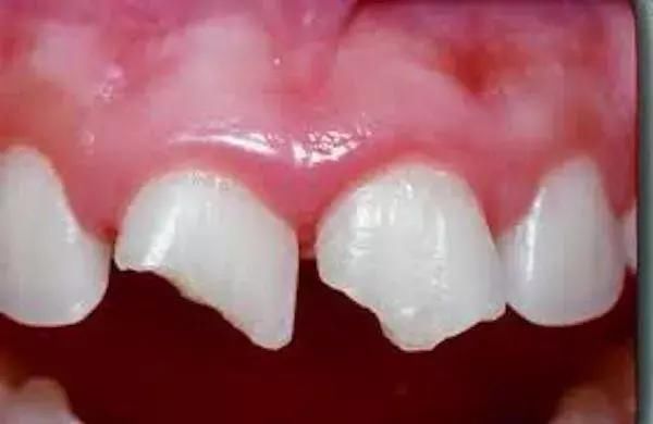
前牙斷了三顆,是種牙還是做烤瓷牙橋好呢?

維港口腔醫生表示,如果已經沒有牙根,適合的情況下考慮做種植牙修復,而如果牙根沒有受傷,可以繼續保留,僅牙冠缺損了,這時候可以考慮做烤瓷牙修復。

a2935930da964331a34a5fe38233586f

為什麼要看牙根情況?

第一,自己的真牙無論是牙根還是牙冠是要比假的更好,所以烤瓷牙可以保留自己的真牙牙根後在上面做個牙冠修復。而種植牙是需要拔除真牙牙根,然後使用假牙牙根來替代真牙牙根。秉承著能保留即保留的原則,回歸醫療的本質。

第二, 更加經濟實惠一些,烤瓷牙的價錢通常在數千元左右,而種植牙價格一般要貴一些,三顆的話大致在上萬元到幾萬元不等。

第三,種植牙需要拔牙,而一般醫生是不會輕易建議患者進行拔牙的,因為拔牙後做的就是假牙,拔牙後做烤瓷牙的話,需要把牙齒缺失旁邊的兩顆牙磨小,那麼這樣的話,磨小的就是兩顆牙,而且還需要做5顆連冠固定橋,對牙齒有一定的損害的。

如果出現這種情況,初步建議是沒有牙根的一顆直接種牙,有牙根的可以做烤瓷牙修復,可以做連著,也可以單獨,具體建議找專業的口腔醫生面診檢查。

更多牙齒問題歡迎電話諮詢+852 68472582(香港)、+86 13266962630(深圳),提前預約,免排隊、免專家掛號費、享受牙科診療最新折扣優惠。

推薦閲讀:

深圳牙科收費


温馨提示: 牙科問題歡迎電話諮詢+852 6847 2582(香港)、+86 132 6696 2630(深圳),提前預約,報銷口岸至牙科車費30元内,避免排隊、免專家掛號費、享受牙科診療最新折扣優惠。
維港口腔,立足深圳羅湖、深圳福田、珠海,為粵港澳市民提供專業的牙科服務。
電話:852 6847 2582

拎400蚊優惠券!
香港品牌 過關即到

電話聯係客服

點擊「確定」,馬上聯係客服進行免費諮詢預約!

WeChat ID已複製

點擊「打開微信」進入微信,點右上⊕,粘貼ID,添加客服開始免費諮詢!

WhatsApp客服諮詢

點擊「確定」,即可諮詢預約維港口腔,並申請免X-Ray費用,免問診金費用!