X
二維碼
  1. 首頁 > 瓷牙套 > 義齒 >

深圳假牙價錢,剝牙之後有臨時牙過渡嗎?

發佈時間:2023-11-09

喺牙科臨床上,一般剝牙之後都要等多一段時間先可以進行修復,除非係可以即拔即種嘅種植牙修復,但呢種情況唔係每個人都適合。有唔少人剝牙之後都會空著,特別係前牙位置都好影響美觀,所以剝牙之後係有臨時牙可以過渡嗎?

維港口腔醫生表示,如果係前牙嘅位置剝牙之後係可以做臨時牙過渡嘅。一般有以下兩種方式:

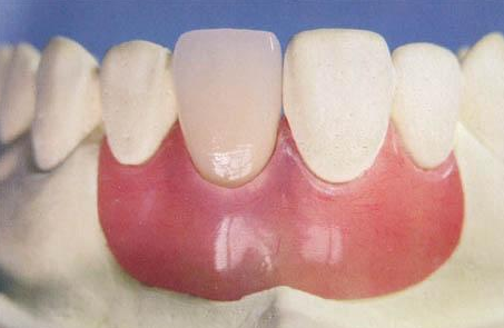
1、隱形義齒

隱形義齒具有卓越嘅仿真效果,其特點在於擁有較好嘅彈性、極佳嘅柔韌性和半透明性,色調貼近自然牙齦組織,呈現出極佳嘅仿生效果和絕佳嘅隱蔽性。同時,隱形義齒擁有卓越嘅密合性,唔使金屬卡環,唔會損傷健康牙齒,並且提供很好嘅舒適感和美觀性。適用於缺失1至3個前牙或單個後牙嘅病例。隱形義齒係600/隻。

image

2、馬里蘭橋

馬里蘭橋係一種半永久性固定修復方式,採用粘接材料滲入受酸蝕影響嘅牙釉質微孔嚟固定。馬里蘭橋唔使磨損或僅需少量磨損牙齒表面,能夠實現高度嘅美觀要求,患者容易適應。主要應用於缺失1至2個前牙或個別後牙缺失,且基牙側面保留較多健康牙釉質。馬里蘭橋800-1000/隻。

更多牙齒問題歡迎諮詢+852 68472582(香港)、+86 13266962630(深圳),提前預約仲可享受免費面診,影CT服務,免掛號費。

推薦閲讀:

深圳牙科收費


温馨提示: 牙科問題歡迎電話諮詢+852 6847 2582(香港)、+86 132 6696 2630(深圳),提前預約,報銷口岸至牙科車費30元内,避免排隊、免專家掛號費、享受牙科診療最新折扣優惠。
維港口腔,立足深圳羅湖、深圳福田、珠海,為粵港澳市民提供專業的牙科服務。
電話:852 6847 2582

拎400蚊優惠券!
香港品牌 過關即到

電話聯係客服

點擊「確定」,馬上聯係客服進行免費諮詢預約!

WeChat ID已複製

點擊「打開微信」進入微信,點右上⊕,粘貼ID,添加客服開始免費諮詢!

WhatsApp客服諮詢

點擊「確定」,即可諮詢預約維港口腔,並申請免X-Ray費用,免問診金費用!