缺咗一隻牙想到深圳檢查適唔適合植牙,做口腔檢查要幾錢?
維港口腔醫生表示,提前預約到維港口腔的每個朋友,都可以申請免費做口腔檢查,包括影CT,照x-ray,醫生檢查面診同瞭解治療方案。如果是缺牙想植牙,評估時一定需要影CT!
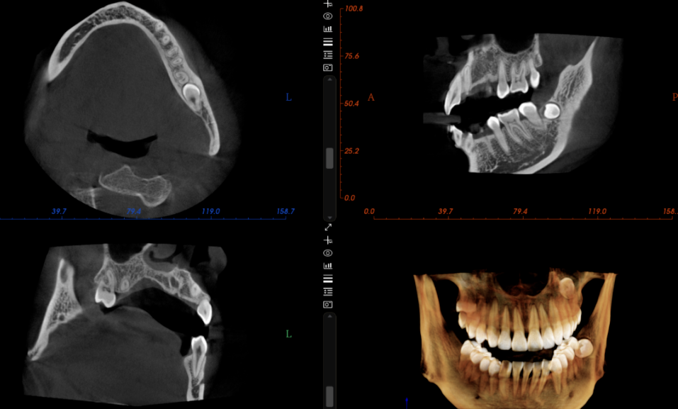
如果在其他牙科檢查評估沒有做CT檢查,是不符合專業的植牙程序的。
因為CT技術解決了傳統口腔X射線設備如口內牙片機和全景機所存在的圖像重疊和畸變問題。通過360°全方位立體觀測牙床的骨密度、牙槽骨的高度和寬度等數據,不僅可以完整重建顱面區域的結構,還能夠精確測量頜面骨骼結構,並還原細緻的解剖細節。
種植牙醫生可以借助CT機精確判斷全口牙床的位置、牙槽骨的高度和深度等資訊。這使得醫生能夠在電腦上清晰地分析牙槽骨的狀態,並在電腦上預先規劃種植手術,選擇適當的種植體,確定最佳的種植位置和角度。這進一步幫助醫生製作精准的手術範本,從而使種植牙手術更加安全可靠。

所以如果您有缺牙想做植牙評估,可以進一步咨詢維港口腔,提前預約享免費面診、免費影CT瞭解治療方案、治療程序、治療報價等全面細節!瞭解清楚之後再根據自己的情況去選擇和確定。
更多牙齒問題歡迎電話諮詢+852 68472582(香港)、+86 13266962630(深圳),提前預約仲可享受免費面診,影CT服務,免掛號費。
推薦閲讀:
點擊「確定」,馬上聯係客服進行免費諮詢預約!
點擊「打開微信」進入微信,點右上⊕,粘貼ID,添加客服開始免費諮詢!
點擊「確定」,即可諮詢預約維港口腔,並申請免X-Ray費用,免問診金費用!