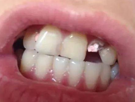
有啲人杜牙根之後咬比較硬嘅食物時會咬裂,杜牙根後如果牙齒劈裂,可能有以下幾個原因:
1、齲齒嚴重:如果喺杜牙根時需要除去大量腐質,導致剩餘嘅牙體過薄,咁牙齒就容易劈裂。
2、缺乏營養供給:杜牙根後,牙齒失去咗自然嘅血液供應,變得更加脆弱。因此,建議喺杜牙根完成後考慮為牙齒安裝牙冠,以提供額外嘅保護。
喺牙齒咬裂之後,選擇邊種修復方式攞決於牙齒咬裂嘅程度,如果咬裂程度較輕,冇咬合疼痛,牙齒冇根尖病變,可以選擇將劈裂嘅部分拔除,然後進行牙冠修復。如果牙齒劈裂程度較嚴重,剩餘嘅牙體活動明顯,可能需要拔除整顆牙齒,然後選擇固定義齒、活動義齒或種植牙等方式進行修復。
選擇適當嘅修復方式應由口腔專業醫生根據具體情況嚟決定,以確保最佳嘅治療效果和口腔健康。

咁深圳種牙邊間好?港人睇牙多數會選擇到維港口腔。
維港口腔踐行「醫道濟世」的大學校訓,堅持醫療回歸本質,十三年穩定經營,價格公開透明、術中不加價,術後有保障,得到香港、澳門、深圳、珠海眾多市民嘅好評及推介。維港口腔以廣東話專業接診,口岸出關即到。無論係醫療技術、醫療設備,定係醫生團隊,港人都更加有信心。
更多牙齒問題歡迎電話諮詢+852 68472582(香港)、+86 13266962630(深圳),提前預約仲可享受免費面診,影CT服務,免掛號費。
推薦閲讀:
點擊「確定」,馬上聯係客服進行免費諮詢預約!
點擊「打開微信」進入微信,點右上⊕,粘貼ID,添加客服開始免費諮詢!
點擊「確定」,即可諮詢預約維港口腔,並申請免X-Ray費用,免問診金費用!