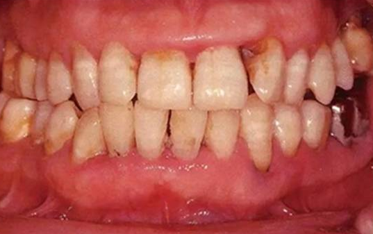
牙周病是口腔的一個主要疾病之一,至於有什麼危害?大家最常見的就是“我的牙齒怎麼越來越松和越來越長了”、“吃飯使不上勁了”、“經常會牙齦出血”、“感覺到口腔有異味了”最後,牙齒鬆動時間長了就可能會脫落影響進食了,所以這是牙周病的主要的危害。
除了對牙齒有傷害,跟身體情況也有一定的關係。已知的比較確定研究就發現如果你有糖尿病,牙周炎也同時在不穩定期,那就會說明血糖很難達到一個理想的一個穩定水準,所以牙周炎和糖尿病應該是個姊妹病,當然血糖不正常的話,牙周炎的控制也比較困難。所以從牙科角度儘量把它穩定和消除了,對糖尿病也會好受。另外一個發現,年輕女性如果說有牙齦炎或牙周炎出現新生兒早產流產的機會還相當大,而且還可能對心血管系統,現在已知影響還是比較大,發現罹患牙周炎比較嚴重的人老年的時候老年癡呆的可能性相對比較高。

其實,牙周的健康狀態是任何其他口腔治療的一個良好的基礎。因為就算牙體牙髓做的再好,補牙補得再好根管做得再好,種植牙種得很不錯的,但是牙周不穩定都會導致別的治療的效果會打打折扣,甚至起不到應有的作用。
所以大家一定要保持好一個良好的口腔衛生,定期找牙醫生檢查。所以這也是為什麼種植牙的時候經常會有患者說醫生讓我先去做牙周的治療。為了種植的成功率,種植前一定要把牙周控制好。因為牙周炎是個自我傳染的疾病,所以你要不控制好的話種植牙也會得牙周方面的疾病,即是種植體黏膜炎或者種植體周圍炎。
其實和自然牙的牙周炎有相似的地方也會出血化膿感染,牙槽骨吸收。牙周炎控制的不好第一個影響主體的正常使用,第二個影響種植牙的壽命。所以一個健康的牙周,穩定的牙周是咱們種植的保障和基礎。
深圳植牙推薦——維港口腔,粵港澳大灣區好評榜樣牙科,擁有種植牙專家醫生團隊,省市級三甲公立醫院多年牙科醫療經驗,獲得中國醫生協會種植牙定額認證學分,獲得衛生部門核準的種植牙專科無菌手術室資質的牙科機構,技術認證,專業嚴謹,硕博团队已幫助粵港澳市民恢復口腔健康,廣受顧客好評!
更多牙齒問題歡迎電話諮詢+852 68472582(香港)、+86 13266962630(深圳),提前預約仲可享受免費面診,影CT服務,免掛號費。
推薦閲讀:
點擊「確定」,馬上聯係客服進行免費諮詢預約!
點擊「打開微信」進入微信,點右上⊕,粘貼ID,添加客服開始免費諮詢!
點擊「確定」,即可諮詢預約維港口腔,並申請免X-Ray費用,免問診金費用!