牙齒缺失是一種常見的口腔問題,嚴重影響口腔健康和美觀。種牙和鑲牙是兩種常見的修復方法,但是哪種方法更好呢?深圳維港口腔醫生為大家科普。
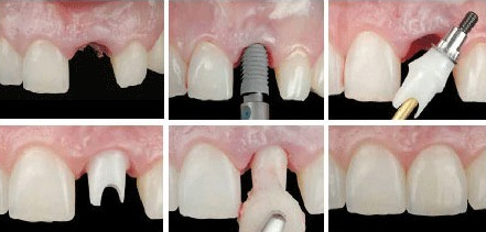
種牙是將人工牙根植入牙槽骨中,再通過牙冠連接人工牙根,實現牙齒修復的方法。種牙的優點是穩定性好,可以長期使用,且與自然牙相似度高,美觀度好。但是種牙需要在口腔內進行手術,手術費用相對較高,需要較長的恢復期。
鑲牙是將人工牙齒固定在自然牙齒上,實現牙齒修復的方法。鑲牙的優點是操作簡單,時間短,費用相對較低。但是鑲牙對牙齒損傷更大,使用壽命較短,需要經常更換,且從美觀度上來看,與自然牙齒差異較大。
因此,對於牙齒缺失很多年的患者,種牙和鑲牙的選擇應根據個人情況而定。如果患者口腔健康狀況良好,植入人工牙根的條件具備,且有足夠的經濟能力和時間,種牙是一個更好的選擇。如果患者口腔健康狀況不佳,或者經濟能力和時間有限,鑲牙也是一個不錯的選擇。
總之,對於牙齒缺失的修復方法,應根據個人情況和醫生建議進行選擇,以達到更好的治療效果。

深圳植牙推介——維港口腔擁有種植牙專家醫生團隊,省市級三甲公立醫院多年牙科醫療經驗,獲得中國醫生協會種植牙定額認證學分,獲得衛生部門核準的種植牙專科無菌手術室資質的牙科機構,技術認證,專業嚴謹,碩博團隊已幫助粵港澳市民恢復口腔健康,廣受顧客好評!
更多牙齒問題歡迎電話諮詢+852 68472582(香港)、+86 13266962630(深圳),提前預約,免排隊、免專家掛號費、享受牙科診療最新折扣優惠。
推薦閲讀:
點擊「確定」,馬上聯係客服進行免費諮詢預約!
點擊「打開微信」進入微信,點右上⊕,粘貼ID,添加客服開始免費諮詢!
點擊「確定」,即可諮詢預約維港口腔,並申請免X-Ray費用,免問診金費用!