X
二維碼
  1. 首頁 > 種植牙 > 前牙種植 >

有牙周炎可以做種植牙嗎?深圳維港口腔科普

發佈時間:2023-06-15

好多患有牙周病的缺牙患者經常有疑問,有牙周炎可以做種植牙嗎?

 

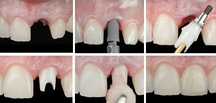
從理論上來說,各種類型的牙缺失患者都適用種植牙。但有的患者在做種植牙的時候,口腔環境並非良好,可能會有各種各樣的牙齒炎症,例如牙周炎。存在牙周炎症會增加種植牙風險及難度,牙周炎症假如得不到治療,種植體後期就很難與牙槽骨結合,造成種植體鬆動甚至脫落,導致種植牙失敗。所以對於牙周炎患者來說,必須要先進行牙周治療,才可以進行種植牙修復。

 

牙周炎會造成種植牙的風險及難度增大,牙周炎是比較常見的口腔疾病,會給口腔健康帶來嚴重的影響。假如未經治療就進行種植牙必然導致種植牙的失敗。因此醫生向有種植牙意向的患有牙周炎的中老年牙缺失患者提出了“想種牙,先治療牙周炎”的建議。


9-1611191F316122.png

 

在牙周炎症治療並得到見效率控制後,就可以開始進行種植牙修復治療了。只要是在正規的醫院進行種植牙,醫生一定會根據患者檢查的結果來確定是否適宜做種植牙。到口腔環境達到手術要求時,才可以進行種植牙。

 

牙周炎會引起較多口腔疾病的產生,同時牙周炎還會影響種植牙的效果。在平時我們要積極的預防牙周炎的,患上牙周炎的,種牙前一定要積極的治療,以免危害到口腔健康。


如果您有種植牙需求,歡迎諮詢維港口腔+852 68472582(香港)、+86 13266962630(深圳),提前預約仲可享受免費面診,影CT服務,免掛號費。

推薦閲讀:

深圳牙科收費




温馨提示: 牙科問題歡迎電話諮詢+852 6847 2582(香港)、+86 132 6696 2630(深圳),提前預約,報銷口岸至牙科車費30元内,避免排隊、免專家掛號費、享受牙科診療最新折扣優惠。
維港口腔,立足深圳羅湖、深圳福田、珠海,為粵港澳市民提供專業的牙科服務。
電話:852 6847 2582

拎400蚊優惠券!
香港品牌 過關即到

電話聯係客服

點擊「確定」,馬上聯係客服進行免費諮詢預約!

WeChat ID已複製

點擊「打開微信」進入微信,點右上⊕,粘貼ID,添加客服開始免費諮詢!

WhatsApp客服諮詢

點擊「確定」,即可諮詢預約維港口腔,並申請免X-Ray費用,免問診金費用!