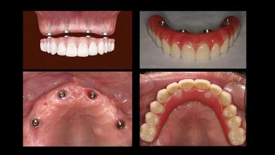
All-on-4全口重建適合哪類人咧?什麼樣的狀況不適合All-on-4全口重建?
1、牙齒狀態差、太多蛀牙
2、重度牙周病,牙齒所剩無幾、搖搖欲墜
3、假牙一直出問題
4、想要縮短全口重建療程者
如果缺牙數量較少,係不需要做全口重建的。
深圳植牙除了All on 4,還有哪些全口重建的方式?平時有顧客問到,全口重建是否還有其他方式,其實對於不適合植牙手術的人,不一定要採用All on 4或者all-on-6治療。可以詢問醫生更多可行的辦法,以解決急迫的缺牙困擾。以下列出其他可能的全口重建方式:
目前有更新的BPS活動假牙材質,可以更好的吸附住口腔、不容易滑落。價格大概係12000-20000蚊,比傳統活動假牙要貴一般左右。

針對預算不足的人,可以選擇2~4顆植體,搭配可拆卸的活動假牙。手術非常的輕便也不耗時。
需要多一點植體、等待植體癒合時間的人,可以選擇進行傳統植牙方式。於等待期間先使用活動假牙。
推薦閲讀:
點擊「確定」,馬上聯係客服進行免費諮詢預約!
點擊「打開微信」進入微信,點右上⊕,粘貼ID,添加客服開始免費諮詢!
點擊「確定」,即可諮詢預約維港口腔,並申請免X-Ray費用,免問診金費用!