X
二維碼
  1. 首頁 > 杜牙根/補牙 >

深圳郭先生後牙根管治療案例

發佈時間:2020-04-27
患者情況:郭先生,31歲,牙痛來診,主訴左下後牙反復疼痛,近日加重,開口受限。
醫生診斷:慢性根尖炎急性發作伴間隙感染
治療方案:
步驟一:向患者交代病情、治療計劃、費用、預後等,患者知情並同意治療。去腐備洞,揭頂CP引
步驟二:局部粘膜消毒4%阿替卡因局部浸潤麻醉,探及3根管,拔髓不成形,少量出血,手用銼疏通根管至20#,測根長,根管預備。沖洗、蕩洗、乾燥根管封藥,暫封。
步驟三:沖洗、蕩洗、乾燥根管,試主尖片,達根長,蕩洗,拭淨,熱牙膠根充,墊底,暫封。
步驟四:基牙預備,精修。制取矽橡膠印模,矽橡膠咬合記錄。

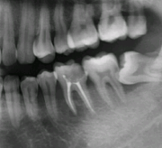
治療前

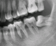
治療後


温馨提示: 牙科問題歡迎電話諮詢+852 6847 2582(香港)、+86 132 6696 2630(深圳),提前預約,報銷口岸至牙科車費30元内,避免排隊、免專家掛號費、享受牙科診療最新折扣優惠。
維港口腔,立足深圳羅湖、深圳福田、珠海,為粵港澳市民提供專業的牙科服務。
電話:852 6847 2582

拎400蚊優惠券!
香港品牌 過關即到

電話聯係客服

點擊「確定」,馬上聯係客服進行免費諮詢預約!

WeChat ID已複製

點擊「打開微信」進入微信,點右上⊕,粘貼ID,添加客服開始免費諮詢!

WhatsApp客服諮詢

點擊「確定」,即可諮詢預約維港口腔,並申請免X-Ray費用,免問診金費用!