一、牙齒缺損會讓牙齒酸痛:
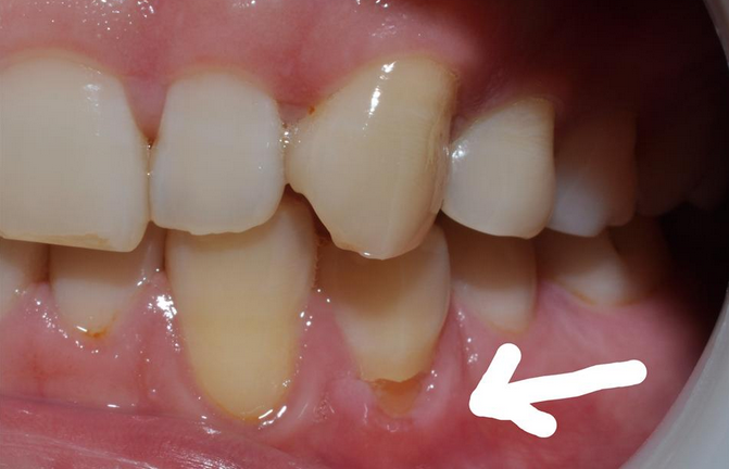
牙齒出現的「凹槽」,其實學術說法就是「楔狀缺損」;這個詞語雖然看上去有點難以理解,其實說白了就是朋友口中的:牙齒頸部上的一道「凹槽」。因為從側面看,這一道凹槽就是外側寬裏側窄,像是一個「楔子」的空隙。楔狀缺損的存在,就可能讓牙齒內部的牙本質更容易接受(甚至直接暴露)到來自外界(唾液、食物、空氣等)的冷熱刺激,甚至吸一口冷風都會感覺到從頭到腳的酸痛感。
不過,大多數情況下,只要刺激一解除,這種酸痛就會消失。

二、牙齒缺損和刷牙習慣有關:
有人聽說「刷牙」會導致楔狀缺損,是真的嗎?有道理,但不是全部原因。說到楔狀缺損的形成原因,其實很複雜,有先天的因素也有後天的因素。牙齒的受力方式就決定了牙頸部受力更大,於是在牙頸部經常出現缺損;牙頸部會周圍是「齦溝」,其中的分泌物叫做齦溝液,它會讓牙齒頸部更容易脫礦腐蝕。但是這兩種導致楔狀缺損產生的因素,我們無法避免。
另一個跟我們日常生活密切相關的原因,就是用力橫刷牙的不良習慣。刷牙的幅度、力度過大、方向不對,都可能加重楔狀缺損。尤其是刷牙的幅度,很多人總是「磨刀霍霍」向牙齒,就像磨菜刀一樣。力量大,且一個來回半口牙都刷到了。這是一種不好的習慣,雖說牙刷比牙齒軟的多,但是耐不住「水滴石穿」,堅硬的牙齒也會被磨出一道槽來。這道槽往往就處在牙頸部,也就是牙齒和牙齦相近的位置。並且,因為刷牙導致的「楔狀缺損」還有一種非常典型的表現:它們更容易出現在左側的牙齒。
原因嘛,你仔細仔細觀察了一下,其實習慣用右手刷牙,而用右手刷牙總是刷左邊的牙齒更「帶勁兒」,等輪到刷左邊的牙齒的時候已經開始沒什麼耐心了。(瞎說什麼大實話~)
三、牙齒缺損可以補救
如果真的已經出現了楔狀缺損也不要太擔心,絕大多數情況下都是可以補救的。
(1)補牙:在缺損剛剛發生的時候,我們可以用補牙材料對缺損的位置進行填補。實在太小不好補可以不作處理,但一定要改變刷牙方式,防止凹槽加深。
(2)根管治療:如果缺損已經引起了牙髓炎,也就是出現了牙神經痛,那麼只有做根管治療,然後再把牙齒修補完整。
(3)「打樁」修復或拔牙:更嚴重的情況,缺損「橫腰」截斷了牙齒,牙齒折斷(或者即將折斷),那麼很抱歉,牙醫很可能要根管治療後在這個牙根上面「打個樁」,然後再用假牙修復起來。而最壞的情況是:很可能牙醫也留不住這個牙齒,不得不拔掉。楔狀缺損不那麼嚴重的時候,其實不會有什麼感覺,但是久而久之就會出現牙齒酸痛敏感,尤其是遇到冰冷的食物。再嚴重點,就會出現牙神經痛,最終缺損到達牙齒中央的牙髓,出現牙髓炎。
敲重點:如果已經出現了楔狀缺損,還是建議及早補牙,畢竟磨損修復的材料總比磨損自己的牙齒好一點,並且,大多數酸痛的症狀也可以得到緩解。
推薦閱讀:
你知道該如何保護牙齒嗎?
天天刷牙為什麼牙齒還是刷不乾淨?
點擊「確定」,馬上聯係客服進行免費諮詢預約!
點擊「打開微信」進入微信,點右上⊕,粘貼ID,添加客服開始免費諮詢!
點擊「確定」,即可諮詢預約維港口腔,並申請免X-Ray費用,免問診金費用!