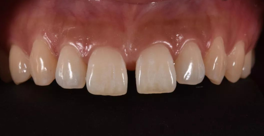
門牙牙縫大的問題在日常生活中常常讓人感到困擾,尤其是對外觀的影響。不過,面對這種情況,很多人會考慮通過補牙來解決。然而,補牙的效果可能並不持久,尤其是在門牙這種頻繁使用的位置,補牙材料容易磨損或掉落。
補牙通常是指使用樹脂材料填充牙齒的空隙,雖然在短期內可以改善牙齒的外觀,但由於補牙材料的性質,容易受到飲食、咀嚼力和口腔衛生等因素的影響,導致掉落或變色。這尤其適用於門牙,因其承擔著較大的咀嚼壓力,而且常常暴露在外,容易受到外界因素的侵蝕。
相比之下,局部貼面是一種更為微創且持久的選擇。貼面是通過將一層薄薄的陶瓷或樹脂材料粘貼在牙齒表面,來改善牙齒的外觀。局部貼面的優勢在於:
1. 自然美觀:貼面可以根據個人的牙齒顏色和形狀進行定制,效果自然,能夠很好地與周圍的牙齒融合,避免了補牙後顯得突兀的情況。
2. 耐用性強:相比於補牙材料,貼面材料通常具有更高的耐磨性和抗汙能力,不易掉落,使用壽命長,能夠保持較長時間的美觀。
3. 微創性:局部貼面製作過程中,通常只需對牙齒表面進行少量磨削,不會影響牙齒的整體結構,減少了對牙齒的損傷。
4. 改善牙縫:貼面可以有效填補牙縫,改善外觀,讓牙齒看起來更加整齊、勻稱。
總的來說,門牙牙縫大的問題確實可以通過補牙來嘗試解決,但由於補牙的持久性較差,局部貼面則提供了更為優越的選擇,尤其是在美觀和耐用性方面。

深圳補牙縫幾錢?以維港口腔為例,如果醫生評估過適合補或者患者自身可以接受補牙後材料易脫落,選擇美學修復通常是600/1200一顆。
更多牙齒問題歡迎諮詢+852 68472582(香港)、+86 13266962630(深圳),提前預約仲可享受免費面診,影CT服務,免掛號費。
推薦閲讀:
點擊「確定」,馬上聯係客服進行免費諮詢預約!
點擊「打開微信」進入微信,點右上⊕,粘貼ID,添加客服開始免費諮詢!
點擊「確定」,即可諮詢預約維港口腔,並申請免X-Ray費用,免問診金費用!