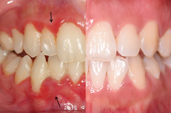
刷牙經常發現牙齦出血系咩原因?深圳睇牙邊間好?深圳維港口腔牙醫話你知:牙齦出血是口腔科常見嘅症狀之一,可由多種原因引起。最常見嘅系口腔局部因素,比如牙齦炎同牙周炎。當口腔衛生唔佳時,牙菌斑同牙結石會在牙齦附近堆積,引發炎症,導致牙齦紅腫、脆弱,刷牙時就容易出血。
另外,刷牙方式唔當,如使用硬毛牙刷或用力過猛,會損傷牙齦組織,造成出血。一啲全身性疾病也會表現為牙齦出血,像有白血病,血友病等血液疾病,會使身體凝血機制異常,導致牙齦自發性出血或出血唔止,糖尿病顧客因血糖控制唔佳,也會增加牙齦感染同出血嘅風險。

深圳我哋維港口腔系一家專業嘅口腔醫療單位,醫生們均經過嚴格嘅專業培訓,多位醫生有公辦醫院背景,具備扎實嘅口腔醫學知識同熟練嘅操作技能。
對於牙齦出血嘅診斷同治療,可根據顧客嘅具體情況,進行全面嘅口腔檢查,包括檢查牙齦狀況,牙菌斑同牙結石情況等,以明確出血原因。
在治療方面,如果系牙齦炎或牙周炎引起嘅出血,維港口腔牙醫會為顧客提供個性化嘅治療方案,如進行牙周潔治、齦下刮治等,以去除牙菌斑同牙結石,控制炎症,促進牙齦恢復健康。同時,醫生還會指導顧客正確嘅刷牙方法同口腔護理技巧,幫助顧客養成良好嘅口腔衛生習慣,預防牙齦出血再次發生。
睇牙,請提前預約檔期,可免問診費免拍片費等。
客服聯繫方式:+852 68472582「香港」+86 13266962630「深圳」
閱讀推薦:
點擊「確定」,馬上聯係客服進行免費諮詢預約!
點擊「打開微信」進入微信,點右上⊕,粘貼ID,添加客服開始免費諮詢!
點擊「確定」,即可諮詢預約維港口腔,並申請免X-Ray費用,免問診金費用!