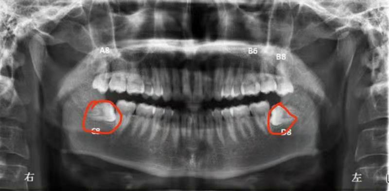
掹智慧齒尤其是掹阻生智慧齒(如下圖為阻生智慧齒),使用傳統的切割方法,留下的傷口會比較大。目前業界已經出現微創無疼掹智慧齒的方法:主要采取ct機,拍攝阻生智齒的位置,結合相應的數據,為醫生准確開刀提供支持。醫生據此可以精確,微創,傷口小,迅速的拔除牙齒,從而實現微創無疼拔除智慧齒。

微創無疼拔智慧齒是否每個醫生都具備此項手術能力?並非如此,首先這需要醫生懂得觀察x光提供的數據,能夠快速而准確的分析智慧齒周圍的生長情況,牙神經的分布情況,並且在操作過程中能夠快速辨別圖形與對應實際的位置,操作快速而簡練。
微創無疼拔智慧齒並非每一位醫生都擅長,因此我們需要尋找有經驗的老醫生拔智慧齒。
深圳維港歡樂口腔,一家專注於服務港澳市民的大型多家口腔,分院遍布深圳,珠海兩地。

點擊「確定」,馬上聯係客服進行免費諮詢預約!
點擊「打開微信」進入微信,點右上⊕,粘貼ID,添加客服開始免費諮詢!
點擊「確定」,即可諮詢預約維港口腔,並申請免X-Ray費用,免問診金費用!