掹智慧齒時間?掹智慧齒時間一般由:智慧齒難拔程度,醫生熟練程度,機器完善程度。
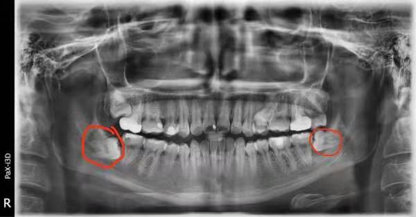
阻生智慧齒,如下圖:

在深圳維港歡樂口腔口腔掹此類智慧齒一颗一般需要15分鐘左右的時間。
普通智慧齒,如下圖:

在深圳維港歡樂口腔掹此類智慧齒一般需要10分鐘左右的時間。
深圳維港歡樂口腔擁有資深的三十幾年專業拔智慧齒牙科醫生——謝立華醫生,是深圳業內拔智慧齒知名專家,多年來參加各類拔智慧齒專題活動。

因為專業,所以行業領先。
點擊「確定」,馬上聯係客服進行免費諮詢預約!
點擊「打開微信」進入微信,點右上⊕,粘貼ID,添加客服開始免費諮詢!
點擊「確定」,即可諮詢預約維港口腔,並申請免X-Ray費用,免問診金費用!