X
二維碼
  1. 首頁 > 瓷牙套 > 烤瓷牙 >

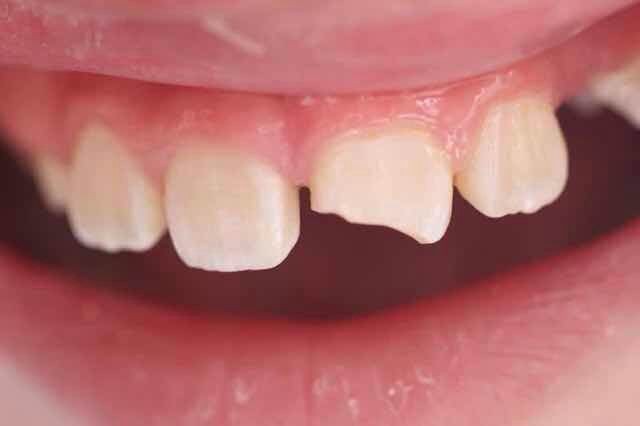
牙齒折斷需要點樣處理呢?深圳牙科推介

發佈時間:2023-03-20

「牙齒折斷需要點樣處理呢?」深圳牙醫給大家科普。

牙齒折斷要睇具體嘅情況,唔同嘅情況處理方式係唔同嘅。

1.冠折牙冠輕微折損而無刺激症狀,可唔作特殊處理。如折緣尖銳,應磨至圓鈍。如牙髓有明顯嘅刺激症狀,並影響形態和功能,應視其情況作牙冠修復。如冠折已著通牙髓,應盡早進行牙髓或根管治療,再進行牙冠修復。

2.根折近牙頸部嘅根折,應盡快進行根管治療後,行樁冠修復;根中部嘅拗應掹除;根尖1/3拗、牙松動,應及時作結扎固定,並作根管治療。

3.冠根聯合牙折冠根聯合斜折者,如有條件可行牙髓或根管治療,然後用金屬牙冠恢復功能。

4.乳牙損傷對乳牙損傷嘅處理有其特殊性。乳牙嘅保留對恆牙萌出和頜面部嘅發育有重要作用,因此,應視具體情況盡量設法保留受傷嘅乳牙。對於4歲以上嘅患兒,應作缺隙保持器,以防止鄰牙向近中郁致恆牙萌出障礙或錯位。

所以如果牙齒有出現折斷嘅情況,一定要盡早去醫院拍片檢查,盡早治療。

深圳牙科推介——維港口腔,粵港老字號牙科,粵港澳大灣區好評榜樣牙科,碩博團隊專業診療,技術認證,專業嚴謹,收費公開透明,已幫助眾多粵港澳市民恢復口腔健康,廣受顧客的好評!

更多牙齒問題歡迎電話諮詢+852 68472582(香港)、+86 13266962630(深圳),提前預約,免排隊、免專家掛號費、享受牙科診療最新折扣優惠。

推薦閲讀:

深圳牙科收費


温馨提示: 牙科問題歡迎電話諮詢+852 6847 2582(香港)、+86 132 6696 2630(深圳),提前預約,報銷口岸至牙科車費30元内,避免排隊、免專家掛號費、享受牙科診療最新折扣優惠。
維港口腔,立足深圳羅湖、深圳福田、珠海,為粵港澳市民提供專業的牙科服務。
電話:852 6847 2582

拎400蚊優惠券!
香港品牌 過關即到

電話聯係客服

點擊「確定」,馬上聯係客服進行免費諮詢預約!

WeChat ID已複製

點擊「打開微信」進入微信,點右上⊕,粘貼ID,添加客服開始免費諮詢!

WhatsApp客服諮詢

點擊「確定」,即可諮詢預約維港口腔,並申請免X-Ray費用,免問診金費用!