「烤瓷牙根發黑需要更換嗎?」深圳牙醫為大家科普。
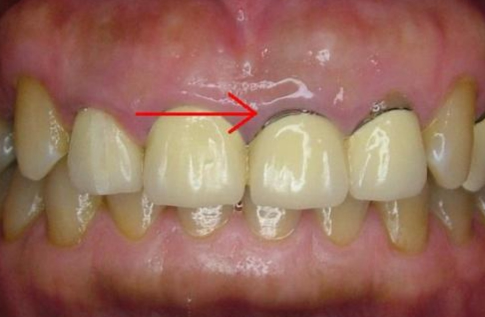
做完烤瓷牙之後牙根發黑通常是烤瓷牙使用的金屬內冠材質不合格造成的,大多數內冠是鎳鎘合金的。鎳鎘是重金屬中的黑色金屬,遇到唾液的時候可以通過唾液將金屬離子轉移到牙齦細胞中。久而久之牙齦就會變色,隨著時間的變化牙齦會越來越黑。
烤瓷牙如果發黑建議要及時更換,因為內冠是鎳鎘合金的原因而導致的,而本身鎳鎘是重金屬中的黑色金屬,如果遇到唾液會轉移到牙齒細胞中,從而導致烤瓷牙變黑的,建議檢查看看,如果需要再進行治療修復一下比較好。口腔衛生控制不好有關,牙齦發生萎縮,烤瓷牙牙齦端金屬外露,建議注意控制口腔衛生。

如果烤瓷牙要更換,一般會比較建議更換為全瓷牙冠。全瓷牙冠的外形透明更加像真牙,沒有牙齦“黑線”問題,維護牙齦健康,全瓷牙大大地克服了金屬烤瓷牙的缺點,讓牙齒修復更加完美化。
深圳瓷牙套價錢,以維港口腔為例
愛爾創全瓷牙1530元,德國威蘭德全瓷牙2500元,德國澤康全瓷牙3800元,美國lava全瓷牙4800元。
更多牙齒問題歡迎電話諮詢+852 68472582(香港)、+86 13266962630(深圳),提前預約仲可享受免費面診,影CT服務,免掛號費。
推薦閲讀:
點擊「確定」,馬上聯係客服進行免費諮詢預約!
點擊「打開微信」進入微信,點右上⊕,粘貼ID,添加客服開始免費諮詢!
點擊「確定」,即可諮詢預約維港口腔,並申請免X-Ray費用,免問診金費用!